زراعة الدهون في الوجه على طريقة جانغنام: ما الفرق؟
2025-11-22
زراعة الدهون في الوجه هي إجراء تجميلي مميز يعيد الحجم ويحقق مظهرًا شابًا
ومع ذلك، يمكن أن تختلف معدلات نجاح ومدة نتائج زراعة الدهون بين العيادات
اكتشف الفروق في زراعة الدهون التي يتم إجراؤها في عيادة نونوبي للجراحة التجميلية والعوامل الرئيسية لنجاح زراعة الدهون
1. ما هي زراعة الدهون في الوجه؟
زراعة الدهون في الوجه هي إجراء يعيد الحجم عن طريق حقن الدهون في المناطق الغائرة الناتجة عن الشيخوخة أو التجاويف الخلقي
يتم إجراؤها عادةً تحت التخدير وتتضمن الخطوات التالية:

جمع الدهون: يتم جمع الدهون من مناطق مثل الفخذين أو البطن
تنقية الدهون: تتم إزالة الشوائب عن طريق الطرد المركزي
حقن الدهون: يتم حقن الدهون في طبقات متعددة في جميع أنحاء المنطقة المستهدفة
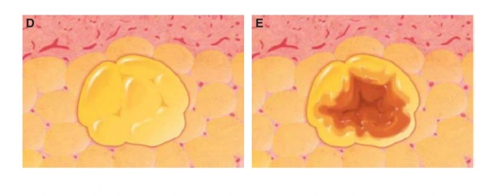
مفتاح زراعة الدهون: معدل البقاء✔
يجب أن تتلقى الدهون المحقونة إمدادات دموية لتستقر بشكل مستقر. لذلك، فإن حقن كمية كبيرة من الدهون في كتلة واحدة ينطوي على خطر الإصابة بالنخر في المركز
تقلل زراعة الدهون في كتل كبيرة من معدل البقاء
طريقة حقن الدهون الصحيحة:✅
حقن الدهون في طبقات متعددة، موزعة في جميع أنحاء المنطقة

الطريقة غير الصحيحة:🚫
حقن الدهون في كتلة واحدة كبيرة → يزيد من خطر نخر الدهون

2. من أين يجب حصاد الدهون وحقنها؟
موقع حصاد الدهون✔
يمكن حصاد الدهون من أي مكان في الجسم، ولكن الأبحاث تظهر أن الدهون من أسفل البطن أو الفخذين عادة ما يكون لها معدل بقاء أعلى
ومع ذلك، قد يختلف الموقع الأمثل للحصاد اعتمادًا على حالة الدهون لدى الفرد

مواقع حقن الدهون✔
يمكن تطبيق زراعة الدهون على مناطق مختلفة من الوجه
المناطق الممكنة:✅
الجبين
تحت العينين (تحسين الهالات السوداء)
الصدغ
تجويفات الخدين
فوق العينين (تحسين تجويفات العينين)
الشفاه
الطيات الأنفية الشفوية (منطقة الأنف)

ومع ذلك، تختلف تقنية حقن الدهون ومعدل البقاء بشكل كبير بناءً على خبرة الطبيب ومهارته، مما يجعل اختيار المستشفى أمرًا بالغ الأهمية
3. الحشوات مقابل زراعة الدهون: ما الفرق؟

مزايا وعيوب الحشوات✔
تأثير فوري على الحجم✅
إمكانية تعديل الشكل على الفور✅
قد يتم امتصاصه بمرور الوقت، ولكن قد يبقى بعضه (يختلف حسب الشركة المصنعة)🚫
يمكن أن تؤثر الفيلرات الموجودة سلبًا على نتائج زراعة الدهون🚫
إيجابيات وسلبيات زراعة الدهون✔
متوافقة حيويًا باستخدام دهونك الخاصة✅
إمكانية الحصول على نتائج شبه دائمة✅
مدة الإجراء أطول من الفيلرات وتتطلب عملية حصاد🚫
قد يختلف معدل البقاء على قيد الحياة اعتمادًا على مهارة الطبيب🚫
الخلاصة💡
في حين أن الحشوات لها مزايا في المناطق الصلبة مثل الأنف أو الذقن، فإن زراعة الدهون موصى بها أكثر لتحقيق تأثير شبابي في مناطق مثل العينين أو الخدين أو الجبهة
4. ما هو الدهون الناوية؟ (نقل الدهون النانوية)
الدهون النانوية🔗 يتم معالجته من الدهون الموجودة إلى جزيئات دقيقة للغاية، مما يخلق شكلاً غنيًا بالخلايا الجذعية وعوامل النمو

مزايا نقل الدهون النانوية:✅
تحسين مظهر الهالات السوداء
تعزيز تجديد البشرة
منع الآثار الجانبية لزراعة الدهون المتكتلة
في عيادة نونوبي للجراحة التجميلية، نستخدم نقل الدهون النانوية بشكل فعال لعلاج الهالات السوداء🔍
فيما يلي حالة لمريضة زارتنا بعد إزالة الدهون الزائدة أثناء جراحة الجفن السفلي لاستعادة شبابها
أجرينا جراحة تصحيحية للجفن السفلي تجمع بين نقل الدهون النانوية وزرع الدهون القياسي لتحسين الهالات السوداء والتجاعيد تحت العين

5. ما يميز زرع الدهون في عيادة جراحة تجميل الجفون
1) المعدات والأجهزة
تستخدم عيادة جراحة تجميل الجفون نظام زرع الدهون توليب، الذي يتميز بسير عمل محسّن من جمع الدهون إلى الحقن
قنيات جمع مخصصة: مصممة خصيصًا لمناطق محددة✅
مرشح الدهون النانوية: يضمن حقن الدهون النانوية ذات الملمس الناعم✅
العلاج بالأكسجين عالي الضغط المركب: يزيد من معدل بقاء الدهون✅

زيادة معدل بقاء زراعة الدهون باستخدام العلاج بالأكسجين عالي الضغط🔗
2) تقنية تعزز معدل البقاء
يمكن أن يؤدي الضغط المفرط أثناء شفط الدهون إلى تدمير الخلايا، مما يجعل من الضروري الحفاظ على ضغط مناسب للمحقنة
بالإضافة إلى ذلك، توفر عضلة الإبهام تحكمًا أكثر استقرارًا من الأصابع لزراعة الدهون بشكل متجانس
شفط الدهون بالضغط السلبي الأدنى: يمنع تلف الخلايا✅
طريقة الحقن المتجانسة: توزيع 1 سم مكعب ببطء في كل مرة✅


6. حالات قبل وبعد زراعة الدهون
حالة تحسين التجاعيد تحت العين✅


حالة زراعة الدهون تحت العين (تحسين الهالات السوداء)✅

حالة تحسين تجويف الجبهة والصدغ✅

7. الخلاصة: نقاط مهمة لزراعة الدهون الناجحة
اختر عيادة ذات خبرة – عيادة ذات معدلات نجاح عالية✅
علاج مخصص – ضع في اعتبارك طرق استخراج الدهون وحقنها✅
زراعة دهون قابلة للتنبؤ – استخدم الدهون النانوية وادمجها مع العلاج بالأكسجين عالي الضغط✅
زراعة الدهون لا تقتصر على استبدال الحجم فحسب؛ بل إن التصميم الذي يراعي توازن الوجه أمر بالغ الأهمية
في نونوبي للجراحة التجميلية، نقوم بزراعة الدهون بناءً على نهج منهجي وتقنيات جراحية مجربة
إذا كان لديك أي أسئلة، يرجى الاتصال عبر 🔗استشارة واتساب!


