눈높이성형외과의 얼굴 지방이식, 무엇이 다를까?
2025-04-08
안녕하세요 눈높이 박성혁 원장입니다.
얼굴 지방이식은 볼륨을 회복하고 동안 효과를 얻는 대표적인 성형 시술입니다.
하지만 지방이식 후 생착률과 유지기간은 병원마다 다를 수 있는데요…
눈높이성형외과에서 시행하는 지방이식의 차이점과 성공적인 지방이식을 위한 핵심 요소를 알아보세요.
1. 얼굴 지방이식이란?
얼굴 지방이식은 나이가 들면서 꺼진 부위나 선천적으로 움푹 들어간 부위에 지방을 주입해 볼륨을 회복하는 시술입니다. 보통 수면마취하에 진행되며 다음과 같은 과정을 거칩니다.

▪︎지방 채취 – 허벅지나 복부 등에서 지방을 채취
▪︎지방 정제 – 원심분리를 통해 불순물을 제거
▪︎지방 주입 – 이식 부위에 여러 층으로 분산 주입
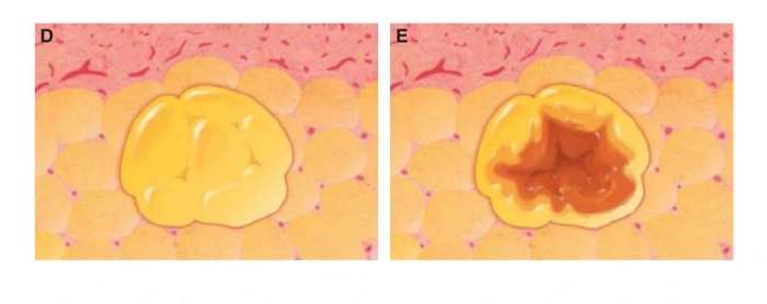
✔ 지방이식의 핵심: 생착률
주입된 지방이 혈류 공급을 받아야 안정적으로 자리 잡을 수 있습니다. 따라서 한 번에 많은 지방을 뭉쳐서 주입하면 중앙부가 괴사될 위험이 있습니다.
✅ 올바른 지방 주입 방식:
지방을 여러 층으로 나눠 분산하여 주입

🚫 잘못된 방식:
지방을 한 곳에 덩어리째 주입 → 지방 괴사 위험 증가

2. 지방 채취 & 주입, 어디에 해야 할까?
✔ 지방 채취 부위
지방은 신체 어디에서든 채취할 수 있지만, 보통 하복부나 허벅지 지방이 생착률이 높다는 연구 결과가 있습니다. 하지만 개인의 지방 상태에 따라 적합한 채취 부위가 다를 수 있습니다.

✔ 지방 주입 부위
지방이식은 얼굴의 다양한 부위에 적용될 수 있습니다.
✅ 가능한 부위:
이마
눈 밑 (다크서클 개선)
관자놀이
볼 패임
눈 위 (아이홀 개선)
입술
팔자주름 (귀족 부위)

하지만 지방 주입 방식과 생착률은 의사의 경험과 기술에 따라 차이가 크기 때문에 병원 선택이 중요합니다.
3. 필러 vs. 지방이식, 무엇이 다를까?

✔ 필러의 장점 & 단점
✅ 즉각적인 볼륨 효과
✅ 원하는 모양을 바로 조절 가능
🚫 시간이 지나면 체내에서 흡수되기도 하지만 남아있기도 함(제조사에 따라 차이)
🚫 기존 필러가 남아 있으면 지방이식 결과에 악영향
✔ 지방이식의 장점 & 단점
✅ 내 지방을 사용하므로 인체 친화적
✅ 반영구적인 효과 가능
🚫 시술 시간이 필러보다 길고 채취 과정이 필요
🚫 생착률이 의사 기술에 따라 달라질 수 있음
💡결론
코나 턱 등 딱딱한 부위에는 필러가 유리한 점도 있지만, 눈이나 볼, 이마 등 동안 효과를 위해서는 지방이식이 더욱 추천됩니다.
4. 나노지방이란? (Nano Fat Transfer)
🔗나노지방은 기존 지방을 초미세 입자로 가공하여 줄기세포와 성장인자가 풍부한 형태로 만든 것입니다.

✅ 나노지방이식의 장점:
▪︎다크서클 개선 효과
▪︎피부 재생 촉진
▪︎울퉁불퉁한 지방이식 부작용 방지
🔍 눈높이성형외과에서는 다크서클 치료에 나노지방이식을 적극 활용하고 있습니다.
아래는 과거 지방을 너무 많이 제거한 하안검 후 눈높이를 찾아주신 분으로, 눈 밑 다크서클과 함몰을 개선하기 위해 나노지방이식과 일반 지방이식을 병행한 하안검 재수술을 시행한 사례입니다.

5. 눈높이성형외과 지방이식의 차별점
1) 장비 & 기구 사용
눈높이성형외과에서는 Tulip 지방이식 장비를 활용하여 지방 채취부터 주입까지 최적화된 시스템을 갖추고 있습니다.
✅ 지방 채취 캐뉼라: 부위별로 맞춤형 사용
✅ 나노지방 필터: 부드러운 질감의 나노지방 주입
✅ 고압산소치료 병행: 지방 생착률 극대화

2) 생착률을 높이는 기술력
지방채취시 과도한 음압은 세포를 파괴시키는 원인이 되므로, 시린지를 적당한 압력을 유지하는 것이 중요합니다. 또한 균일한 지방이식을 위해 손가락 보다 엄지두덩이(thenar muscle)가 더 안정적입니다.
✅ 최소 음압 지방 채취: 세포 손상 방지
✅ 균일한 주입 방식: 1cc씩 천천히 분산 주입


6.지방이식 전후 사례
✅ 눈 밑 꺼짐 개선 사례


✅ 눈 밑 지방이식 (다크서클 개선) 사례

✅ 이마 관자 꺼짐 개선 사례

7. 결론: 성공적인 지방이식을 위한 체크포인트
✅ 경험이 풍부한 병원 선택 – 생착률이 높은 병원
✅ 개인 맞춤형 시술 – 지방 채취 & 주입 방식 고려
✅ 예측 가능한 지방이식 – 나노지방 활용 & 고압산소치료 병행
지방이식은 단순한 볼륨 보충이 아니라, 얼굴의 균형을 고려한 디자인이 중요합니다. 눈높이성형외과에서는 체계적인 시스템과 검증된 수술법을 바탕으로 지방이식을 진행합니다.
궁금한 점이 있다면 🔗카카오 상담으로 문의 주세요!
본 포스팅은 의학 정보를 제공하기 위해 작성되었습니다.
모든 의료 행위는 개인에 따라 부작용이나 후유증이 있을 수 있으며
결과가 다를 수 있으니
반드시 의료진과 상의하세요.

